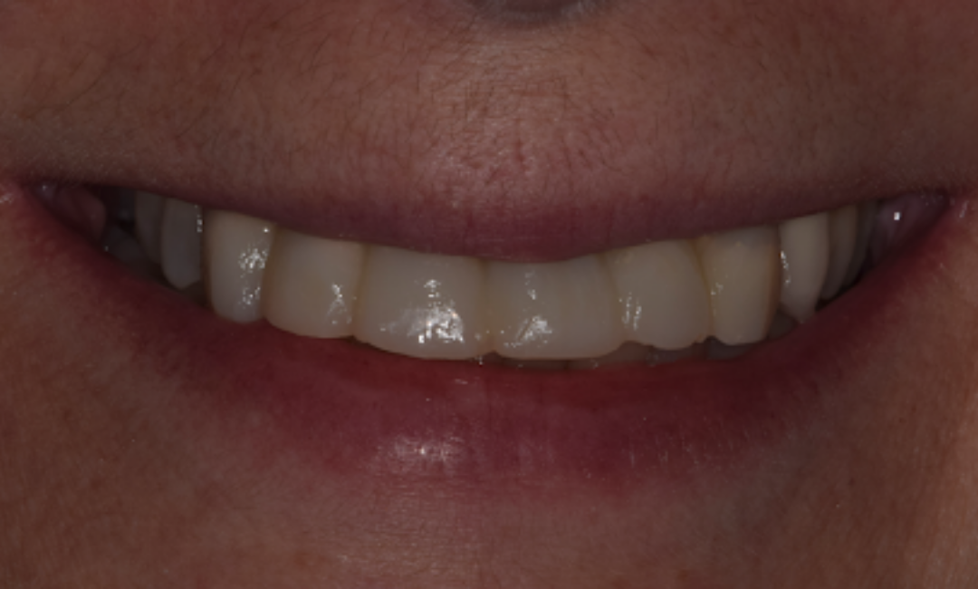
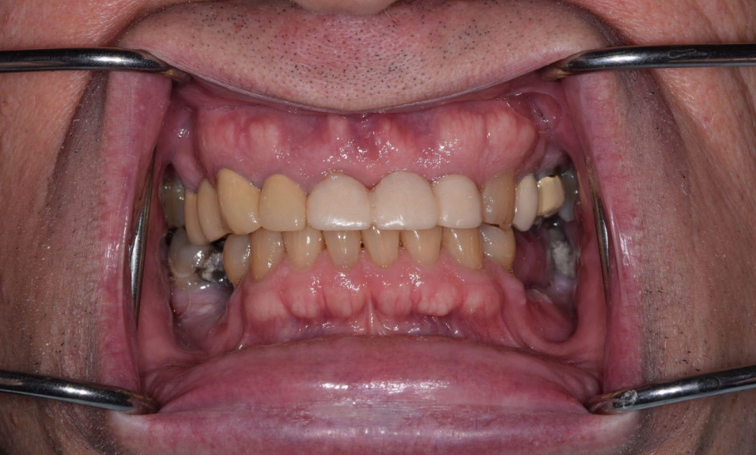
Explore our Smile Gallery to see the transformative power of expert dental care. From subtle refinements to dramatic makeovers, each before-and-after photo reflects the personalized treatments and artistic precision we provide. Let your smile tell your story—beautifully.
































